L’IMPLANTOLOGIA

(…quella che i nostri nonni non conoscevano…)
E LA RIABILITAZIONE CON IMPLANTOPROTESI

Definizione

L’implantologia è una branca della Chirurgia Orale che si occupa della riabilitazione funzionale dei pazienti affetti da edentulismo totale o parziale tramite l’utilizzo di impianti dentali: dispositivi in titanio che, inseriti nell’osso mascellare o mandibolare, simulano per forma e funzione la radice naturale del dente permettendo la connessione di protesi, fisse o rimovibili, per il ripristino di una  corretta funzionalità masticatoria e di una adeguata estetica.

Alla scuola svedese dei primi anni ’80 si deve il concetto di osteointegrazione: quando si inseriscono nell’osso impianti in titanio puro, l’osso cresce a diretto contatto con la superficie delle spire implantari permettendo agli impianti di diventare parte integrante del corpo, come lo sono le radici dei denti naturali.

 La miglior conoscenza dei meccanismi biologici alla base del processo di osteointegrazione e lo sviluppo di tecniche atraumatiche e indolori per l’inserimento dell’impianto hanno reso la terapia implantare sempre più affidabile e diffusa.

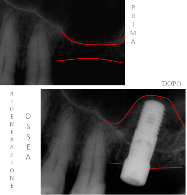
Nel corso degli anni, inoltre,  si è assistito ad un importante sviluppo ed evoluzione della chirurgia ossea ricostruttiva (GBR: Guided Bone Regeneration) dei siti atrofici, ovvero di quelle zone che non presentano i requisiti minimi di volume per accogliere un impianto; oggi possiamo infatti dire che la quasi totalità dei siti  è potenzialmente idonea alla terapia implantare.

 

Indicazioni

Gli impianti consentono di replicare fedelmente l’estetica della dentatura naturale oltre che a garantire comfort e funzionalità. A differenza di quanto accade quando si ricostruisce un dente singolo con un ponte tradizionale, i denti adiacenti sani non sono sacrificati. È l’impianto a sostenere il dente singolo mancante e non i denti vicini.

Allo stesso modo si possono sostituire più denti adiacenti mancanti senza ricorrere a soluzioni tradizionali caratterizzate da lunghe travate che, negli anni, non potevano che incorrere in complicazioni protesiche e/o dentali. I primi protocolli prevedevano comunque l’inserimento di un impianto per ciascun dente sostituito.

 

La stessa riabilitazione, oggi, può invece prevedere un disegno a ponte  dove 2 impianti possono sostituire

 3 o anche 4 elementi mancanti.

L’indicazione più rivoluzionaria, però, è la riabilitazione dell’ edentulia totale ovvero del paziente che ha perso tutti i denti di una o di entrambe le arcate: in questi casi è possibile riabilitare il paziente con una protesi fissa su 4 impianti nella mandibola (all-on-four) oppure su 4-6 impianti nella mascella (all-on-six). Nella maggior parte dei casi queste situazioni prevedono il carico immediato, ovvero il posizionamento di un provvisorio avvitato agli impianti nelle 24-48 ore successive all’intervento.

 

In alternativa alla soluzione fissa, si può stabilizzare una protesi totale mobile su un numero variabile da 2 a 4 impianti con l’interposizione di sistemi a bottone (locator) o a barra: la protesi risulterà più confortevole e funzionale rispetto ad una protesi totale non sostenuta da impianti.

 

 
Controindicazioni

Detto che eventuali problemi di volume osseo disponibile sono tutti risolvibili con una adeguata chirurgia ossea ricostruttiva,  è necessario ricordare che la conditio sine qua non del successo delle terapie implantari è la capacità di mantenere sempre un ottimo livello di igiene orale. I pazienti che si dimostrano carenti e poco motivati non sono mai dei buoni candidati così come non lo sono i forti fumatori. Esiste inoltre un elenco di patologie che vanno opportunamente valutate con il medico curante prima di intraprendere questa terapia: il diabete come anche alcune condizioni cardiachemalattie ematiche e altre ancora si pongono spesso solo come controindicazioni relative ovvero aggirabili con una adeguata preparazione pre-intervento. Le stesse considerazione vanno fatte per l’osteoporosi dove il problema non risiede nella patologia, che raramente colpisce le ossa mascellari, quanto piuttosto nella terapia a base di Bifosfonati ad essa correlata: la tipologia di farmaco e il dosaggio assunto determinano, anche in questo caso, la necessità di attuare particolari precauzioni di caso in caso.

Una controindicazione forte è invece la presenza di malattia parodontale nel paziente candidato all’implantologia: la parodontite deve essere senz’altro inercettata e stabilizzata prima di affrontare la terapia e successivamente sempre monitorata. In questo senso i protocolli applicati presso il nostro studio sono necessariamente molto ferrei.

Protocolli chirurgici

Qual è il momento migliore per inserire l’impianto?

I protocolli prevedono tre possibili alternative:

1- impianto post-estrattivo immediato:  inserito contestualmente all’estrazione. Da scegliere con attenzione solo dopo attente valutazioni anatomiche ed estetiche: rende più veloce il tempo totale di terapia ma espone al rischio di inestetismi;

2- impianto post-estrattivo precoce: inserito 6-8 settimane dopo l’estrazione. La soluzione più comune perché permette di intervenire quando osso e tessuti adiacenti hanno raggiunto una buona stabilità e la predicibilità dei risultati è maggiore;

3- impianto tardivo: inserito 3 mesi o più dopo l’estrazione. Utilizzata in genere quando all’estrazione viene associata una importante chirurgia ossea ricostruttiva.

Qualunque delle precedenti opzioni venga concordata, i protocolli di chirurgia implantare prevedono una ulteriore scelta:

chirurgia in due fasi (foto 1): la prima fase prevede l’inserimento dell’impianto che viene lasciato sommerso al di sotto della gengiva. La seconda fase, a distanza di 3-6 mesi, prevede  il rientro chirurgico nel sito implantare per la connessione protesica.  Questo protocollo è ancora largamente usato quando sono previste importanti chirurgie ricostruttive periimplantari all’atto dell’inserimento implantare.

chirurgia in una fase (foto 2): prevede un’unica fase chirurgica in cui si inserisce l’impianto che viene immediatamente connesso a una componente transmucosa (vite di guarigione) che guida la guarigione della gengiva. Una volta attesi i normali tempi di osteointegrazione ( 2-3 mesi) si può procedere alla protesizzazione, evitando il rientro chirurgico nel sito implantare.

Protocolli Protesici

La strategia più largamente usata per la funzionalizzazione protesica dell’impianto è quella del carico differito che prevede di lasciare l’impianto a riposo per i normali tempi biologici di guarigione ossea prima di procedere alla fabbricazione della protesi: 2-3 mesi in mandibola e 3-4 mesi in mascella. Trascorso questo periodo si confeziona il provvisorio che ci permette di testare la tenuta dell’impianto e di condizionare l’emergenza gengivale delle nuove corone dentali.

In alcune situazioni attentamente selezionate, invece, il protocollo protesico può prevedere un  carico immediato, ovvero l’immediata protesizzazione degli impianti con un provvisorio che verrà comunque sostituito dalla protesi definitiva solo trascorso il tempo biologico di guarigione ossea. I criteri da rispettare per il carico immediato sono:

– assenza di concomitanti patologie sistemiche in pazienti non fumatori;

– presenza di un sufficiente volume di osso residuo che non richieda chirurgia ricostruttiva;

– stabilità primaria degli impianti appena inseriti;

– bilanciamento ottimale delle forze occlusali.

La protesizzazione degli impianti prevede oggi, in alternative alle tecniche tradizionali,  l’impiego di una tecnologia digitale che prevede l’utilizzo di uno scanner per la scansione dei modelli in gesso e di un software che elabora al computer la forma di monconi e di strutture individualizzate rispetto alle esigenze del paziente e destinate ad essere avvitate all’impianto per supportare la protesi finale : il progetto digitale viene poi ratificato da macchine fresatrici che sono in grado di modellare diversi materiale come Cromo-Cobalto, Titanio e Zirconia. Il software in dotazione è inoltre in grado di interfacciare le foto dei modelli in gesso con le foto del paziente e le immagini relative al progetto di terapia; in questo modo manteniamo costante il controllo sull’obbiettivo finale.

Chirurgia Computer Guidata

Il termine più corretto è chirurgia computer assistita perchè il computer non guida il chirurgo orale ma è quest’ultimo che, attraverso l’utilizzo di un software di elaborazione 3D, viene aiutato nella programmazione di chirurgie implantari e/o ricostruzioni ossee ed estrazioni particolarmente complesse. Dopo aver eseguito una TC (tomografia computerizzata, la vecchia tac) dell’arcata dentaria interessata, i dati ottenuti vengono elaborati per ottenere un modello virtuale tridimensionale su cui il chirurgo programma, con grande precisione, l’intervento che eseguirà sul paziente. Questa tecnologia permette di visualizzare assieme al paziente il risultato finale ancor prima di eseguire la chirurgia; di programmare nel dettaglio numero e posizione degli impianti consentendo di stabilire se sarà possibile consegnare un provvisorio  fisso al paziente nell’arco di 24-48 ore; di eseguire, nei casi favorevoli, interventi senza incisioni annullando o riducendo così i sintomi postoperatori che accompagnano la chirurgia convenzionale; di intervenire in sicurezza su pazienti con patologie sistemiche e/o in terapia farmacologica grazie alla riduzione dell’invasività e quindi del sanguinamento; di visualizzare le strutture anatomiche nobili (vasi sanguigni e nervi) presenti nei mascellari e quindi condurre l’intervento in grande sicurezza. Infine, ma non meno importante, di ridurre il tempo della seduta chirurgica alla poltrona.

 

Esempio di un caso complesso di edentulia totale risolto con l’inserimento di sei impianti osteointegrati.

 

La Perimplantite

Gli impianti hanno una vita solo potenzialmente illimitata e il rischio di fallimento implanto-protesico è dato principalmente dalla formazione di un difetto osseo attorno all’impianto che riconosce fondamentalmente due cause:

  • periimplantite, un’infezione con caratteristiche sovrapponibili a quelle della malattia parodontale che porta alla formazione di tasche attorno agli impianti come attorno ai denti;
  • carico protesico scorretto che può innescare a sua volta un riassorbimento osseo progressivo nel tempo, con perdita dell’impianto.
  • Per scongiurare questi insuccessi è necessario: stabilizzare la malattia parodontale, quando presente, prima di iniziare la terapia implantare; progettare una buona protesi, ben bilanciata dal punto di vista dell’occlusione; avere una corretta igiene orale quotidiana ed effettuare visite di controllo periodiche concordate con il proprio dentista.
  • In questo senso il sistema di richiami periodici che da anni offriamo gratuitamente ai nostri pazienti ci consente di avere bassissime percentuali di fallimento perimplantare.

Predicibilità

 

I dati pubblicati nella letteratura scientifica riportano un successo implantare mediamente superiore al 90%  sia in termini di osteointegrazione iniziale (significa che l’impianto risulta stabile e può essere protesizzato) che di sopravvivenza a 10 anni (gli impianti e la protesi associata continuano a funzionare senza disturbi particolari).

Una recente statistica interna al nostro studio e relativa a 12 anni di terapia impiantare tra il 2002 e il 2013 per un totale di oltre 1000 impianti inseriti ha riportato dati davvero confortanti:

–  il 96% degli impianti sono stati protesizzati regolarmente e solo il 4% dei casi hanno richiesto un secondo intervento;

–  il 98% delle protesi associate agli impianti hanno mantenuto funzionalità ed estetica in tutto il periodo osservato.

Questi risultati sono dovuti ad una attenta diagnosi, valutazione e selezione prechirurgica; a protocolli chirurgici individualizzati nel rispetto dell’anatomia e della biologia ossea; a riabilitazioni protesiche precise e costruite rigorosamente con materiali di qualità; ad un rigido sistema di controllo e mantenimento.
Domande frequenti
Quali sono i benefici di un impianto?
Grazie all’impianto potrà provare la gioia di un bel sorriso, parlare liberamente e riuscire a masticare tutti i cibi con facilità. Nel caso di sostituzione di un dente singolo, eliminerà la necessità di un ponte, evitando così di limare ed eventualmente devitalizzare i denti sani. Nel caso di una protesi totale, gli impianti le permetteranno di ancorarla e di non sentire più i fastidi causati dall’instabilità della stessa.
L’impianto sarà visibile?
No, il nuovo dente darà lo stesso comfort di quelli naturali, la stessa funzionalità ed esteticamente si armonizzerà perfettamente con la dentatura naturale.
A quale età può essere programmato un intervento implantologico?
È sufficiente che l’organismo abbia terminato la fase di crescita scheletrica (non prima dei 18-20 anni).
Anche pazienti molto anziani, ma in buone condizioni di salute, possono tranquillamente ricorrere agli impianti.
Sentirò dolore?
No, l’intervento avviene in anestesia locale. In seguito, per qualche giorno potrà avere un leggero risentimento, che verrà alleviato con impacchi di ghiaccio nelle prime ore e analgesici opportunamente prescritti.
Nei pazienti particolarmente ansiosi e in previsione di interventi complessi possiamo decidere di effettuare anche una sedazione cosciente mediante somministrazione di ansiolitici.
Nel caso non ci sia sufficiente osso, è completamente impossibile eseguire la chirurgia implantare?
Di solito è comunque possibile. L’osso, infatti, può essere ricostruito mediante tecniche rigenerative che prevedono l’utilizzo di membrane ed innesti d’osso autologo (del paziente stesso) o di altri materiali biocompatibili; tali tecniche permettono di ottenere aumenti tridimensionali, quindi sia in termini di altezza
disponibile che di spessore. Ad esempio nell’arcata superiore la presenza del seno mascellare, una cavità posta sopra la regione molare, può in alcuni casi impedire il posizionamento di impianti. E’ possibile riempire parzialmente la cavità con un innesto osseo e procedere all’inserimento degli stessi.

Seno mascellare prominente: altezza ossea insufficiente

Dopo l’innesto osseo sonO stati inseriti gli impianti

 
Quali possono essere i rischi e le complicanze dell’intervento chirurgico?
I rischi e le complicanze, dal punto di vista generale, sono paragonabili ad un comune trattamento chirurgico odontoiatrico. Se durante la fase diagnostica emergono dati clinici che necessitano di approfondimento, sarà richiesta la collaborazione di altri specialisti.
I rischi e le complicanze locali sono assai ridotte effettuando una diagnosi precisa ed utilizzando eventualmente immagini radiografiche quali la TC (Tomografia Computerizzata).
In pazienti anziani è più frequente il formarsi di ematomi. Un leggero gonfiore non deve destare preoccupazione: tale evenienza non può essere considerata una complicanza ma un fattore legato all’infiammazione post-operatoria;la terapia farmacologica prescritta limiterà il gonfiore.
Per ogni singola zona operata saranno fornite tutte le informazioni sui possibili rischi e le complicanze specifiche.
Esiste la possibilità di rigetto?
No, perché il titanio è un materiale assolutamente biocompatibile, in quanto del tutto inerte dal punto di vista biologico. Esiste, invece, la possibilità di “fallimento implantare” (2-3% dei casi), ovvero una mancata integrazione dell’interfaccia osso-impianto a causa di un imprevisto nelle prime fasi di guarigione per lo più imputabile ad una infezione: per questo l’intervento viene eseguito con copertura antibiotica.
Quanto dura un impianto dentale?
Quando un impianto si è integrato con l’osso non c’è limite alla sua durata, purché:
– il paziente mantenga una scrupolosa igiene domiciliare sottoponendosi a controlli periodici per scongiurare l’insorgenza di una periimplantite;
– la componente protesica sia eseguita nel rispetto di corretti parametri tecnici e funzionali.
Considerazioni Finali
In conclusione a questi brevi appunti necessariamente didattici e schematici mi sento di poter testimoniare che nonostante il numero di impianti inseriti e l’esplosione dell’implantologia in tutti i paesi civilizzati negli ultimi 10-15 anni possa far credere ad una disciplina semplice e predicibile a prescindere, la realtà dei fatti e la lettura attenta dei fortunatamente pochi insuccessi dice che ancora oggi, nell’era del digitale e della tecnologia, la preservazione dei denti naturali resta l’obiettivo principale non solo del paziente ma anche del dentista: troppo spesso si tende a dare per “spacciati” dei denti e a proporne la sostituzione con impianti quando ancora tante sono le cose da poter fare.
La mia filosofia resta e resterà conservativa e lo testimonia la mia formazione professionale volta alla parodontologia. Una terapia parodontale ben impostata, infatti, ci permette di salvare il maggior numero dei denti demandando al l’implantologia la riabilitazione di solo quelli davvero e irrimediabilmente persi.
Non pensiate che questo approccio terapeutico sia così diffuso: cercare di salvare un dente richiede investimenti in termini di formazione, collaborazioni e attrezzature; significa mettersi in gioco e modulare le decisioni terapeutiche in modo individuale e selettivo. Sostituire un dente danneggiato con un impianto
come approccio standardizzato è invece più rapido, forse più predicibile, sicuramente più vantaggioso da un punto di vista commerciale, di certo quasi mai la scelta più etica. A questo proposito vi invito a leggere il secondo allegato, ancora più illuminante.

Mestre 14 Aprile 2014

CENTRA dott. Nicola