La protesi dentaria è la disciplina che si occupa della progettazione e costruzione di manufatti per la sostituzione di parte o di tutta la dentatura originaria, persa o gravemente compromessa, ripristinando la funzionalità e l’estetica dell’apparato masticatorio.
E’ in assoluto la branca più importante e complessa dell’odontoiatria, in cui le competenze del clinico e la professionalità dell’odontotecnico (figura professionale a cui viene affidata materialmente la costruzione delle protesi) devono concorrere in sinergia per adempiere ai seguenti requisiti:
- Funzionalità: ovvero il ripristino della corretta masticazione nel rispetto delle funzioni articolari (articolazione temporo-mandibolare o ATM) e della corretta fonetica;
- Resistenza: la protesi deve resistere alle sollecitazioni del carico masticatorio e all’usura dei liquidi buccali;
- Biocompatibilità: la protesi deve essere costruita con materiali non tossici, di provenienza accertata e garanzia certificata (dichiarazione di conformità del fabbricante);
- Estetica: la protesi deve essere “invisibile”, rispettando l’anatomia originale e i canoni estetici universalmente riconosciuti.
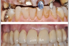
La protesi fissa sostituisce gli elementi dentari con dei manufatti che non possono essere rimossi dal paziente e che si ancorano sulle radici residue degli elementi stessi. Possiamo distinguere riabilitazioni complete (corone dentali) o parziali (intarsi, overlay e faccette).
Oggi la tecnologia ci mette a disposizione materiali molto performanti che uniscono funzione ed estetica; a seconda delle esigenze cliniche e del paziente siamo in grado di lavorare con soluzioni in metallo-ceramica, zirconio-ceramica e ceramica integrale. (per ulteriori dettagli vai al glossario).
La protesi rimovibile, invece, può e deve essere rimossa dal paziente per la pulizia della stessa e degli eventuali denti che la sostengono; la protesi mobile può infatti essere totale (si adatta solamente a gengive e mucose) o parziale (quando trova ancoraggio anche su due o più elementi residui).
La protesi rimovibile è costituita da una base di sostegno in resina acrilica rosa che si mimetizza con la gengiva, su cui vengono montati denti artificiali disponibili in commercio sia in ceramica che in resina acrilica o composita. Con i denti prodotti attualmente si ottengono ottimi risultati estetici: fondamentale è l’abilità dell’odontotecnico che attraverso un montaggio individualizzato, in particolare per i denti frontali, riesce a conferire al manufatto un aspetto naturale che ben si armonizzi al viso e alle espressioni del paziente (per ulteriori dettagli vai al glossario).
La totale assenza di elementi dentari, se richiesto, può essere by-passata dall’inserimento di impianti dentari (radici artificiali in titanio) che consentono il confezionamento di protesi implantari che risulteranno essere più stabili e funzionali (vedi anche la sezione IMPLANTOLOGIA).
