L’utilizzo della videocamera endorale si sta notevolmente modificando in questi anni grazie soprattutto al progressivo miglioramento delle specifiche tecniche in generale e della risoluzione in particolare.
Il valido strumento che consentiva essenzialmente di migliorare la comunicazione con il paziente permettendoci di mostrare i dettagli del cavo orale e di illustrare meglio le relative problematiche è diventato negli anni anche un formidabile ausilio nel formulare diagnosi puntuali nonché un elemento di verifica e di controllo da quando ci permette di archiviare immagini in un database.
La videocamera endorale VISTACAM XP (Durr) è dotata di tre diversi puntali che ne implementano l’utilizzo:
• Puntale standard: per visualizzare immagini reali della situazione orale;
• Puntale interprossimale: per intercettare piccoli lesioni cariose in prossimità dei punti di contatto interdentali;
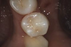
• Puntale occlusale: per valutare il grado di demineralizzazione di eventuali pigmentazioni sulla superficie masticante dei denti.
