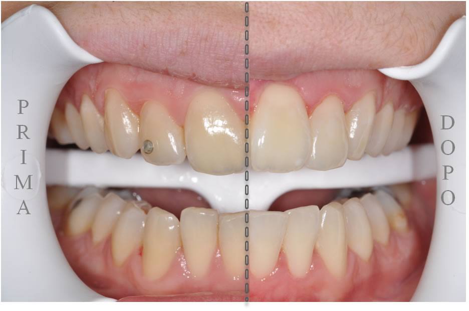
L’odontoiatria estetica è quella branca dell’odontoiatria che ricerca nella cura il bello artistico. L’obiettivo è quindi la cura finalizzata al ripristino della bellezza dentale nel rispetto delle regole auree naturali, della funzione e dell’ecosistema della bocca; sono infatti universalmente riconosciuti e codificati i canoni estetici dentali e gengivali cui attenersi per realizzare un sorriso armonioso e gradevole, in grado di donare al paziente una sembianza di rinnovata salute.
In questo senso è possibile intervenire in modo conservativo, andando a sostituire restauri eventualmente presenti con materiali più attuali ed affidabili; in senso protesico, ricorrendo alle nuove tecnologie che si avvalgono di ceramiche dentali di ultima generazione altamente traslucenti e performanti con cui si possono ottenere faccette o corone altamente naturali; per via ortodontica favorendo l’allineamento dei denti e lavorando sul corretto sviluppo scheletrico del distretto facciale; attraverso la chirurgia parodontale per ripristinare i corretti rapporti dento-gengivali.
E’ evidente che spesso conservativa, protesi, ortodonzia e chirurgia lavorano insieme e in sinergia per raggiungere l’obiettivo.
Nelle determinanti estetiche di base, giocano un ruolo chiave tre fattori : il colore, la morfologia dentale e l’armonia gengivale.
Nel primo caso, cioè laddove esistano cause intrinseche o da fattori esogeni tali da provocare alterazioni e/o anomalie di colore dei denti è possibile adottare procedure di sbiancamento dentale che consentano di modificare la luminosità e la brillantezza dei denti.
Nella seconda ipotesi, ovvero qualora siano presenti anomalie di forma congenite o iatrogene (per effetto di restauri incongrui o difettosi) è oggi ragionevole utilizzare le moderne opzioni ricostruttive/correttive per restituire un aspetto armonico delle corone dentali ricorrendo ai materiali idonei e ai sistemi adesivi di ultima generazione ed effettuare restauri parziali e/o faccette.
Nel terzo caso, dove siano presenti disarmonie delle parabole gengivali, la chirurgia muco-gengivale e pre-protesica rappresenta la strada più predicibile per ritrovare il giusto equilibrio.
Se è vero che il settore della bocca maggiormente interessato dall’odontoiatria estetica è quello relativo ai denti anteriori (e fra questi i denti superiori) è altrettanto vero che nella popolazione sta sorgendo un sempre maggiore interesse verso l’estetica dei denti posteriori (e fra questi i denti inferiori), spesso sede di restauri obsoleti (amalgama dentale, oro).
Attraverso l’adozione delle moderne tecniche restaurative e dei materiali compositi più recenti, è oggi possibile realizzare restauri invisibili e assolutamente naturali anche nei denti posteriori, nel rispetto della funzione e dell’anatomia dentale.
Lo Studio di Odontoiatria Centra adotta da anni il sistema di sbiancamento dentale, domiciliare o alla poltrona e utilizza sempre i migliori materiali reperibili sul mercato e le tecnologie più recenti per poter garantire ai propri pazienti la possibilità di scegliere il sorriso che meglio si adatta alla fisionomia del viso.

