Radiologia

Il nostro Studio ha deciso di dotarsi di un sistema di radiografia digitale endorale con pellicole ai fosfori.

Una Scelta sofferta per la qualità forse ancora superiore dei formati in pellicola tradizionale, ma motivata dalle straordinarie prestazioni dello scanner di ultima generazione in dotazione all’apparecchio: legge e scarica sino ad 8 immagini per volta, le cancella e rende nuovamente e immediatamente riutilizzabili le pellicole ai fosfori.
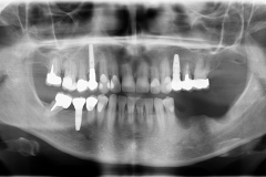
I tempi di processazione delle immagini, inoltre, sono davvero molto rapidi: la singola radiografia è disponibile dopo appena 3-5 secondi mentre lo status endorale (13 fotografie endorali che vanno a comporre l’intera bocca) appare a monitor in solo 60 secondi.

L’introduzione della radiografia digitale consente di apprezzarne i numerosi vantaggi:
• immagini ad alta risoluzione, comunque adempienti ad ogni requisito diagnostico;
• minori tempi di attesa per gli operatori e il paziente;
• possibilità di riutilizzare più volte i films ai fosfori;
• abbattimento dei tempi di esposizione e della dose radiante erogata (circa 8 volte inferiori), con drastica riduzione dell’invasività dell’esame radiologico sul paziente;
ecosostenibilità grazie all’eliminazione degli acidi di sviluppo e fissaggio, necessari per processare le pellicole tradizionali;
• gestione ed archiviazione informatica delle immagini acquisite sul paziente.

 

 

Il nostro studio è inoltre dotato di un a unità radiografica modernissima che permette di eseguire:
• radiografie panoramiche
• teleradiografie
• Tac 3D (tecnologia Cone-Beam)

Tutto questo ci permette di accorciare enormemente i tempi diagnostici e di intervenire tempestivamente con la terapia o la riabilitazione più corretta.