(…E COME LIMITARNE I DANNI…)
INTRODUZIONE
Vorrei cominciare questo mio nuovo aggiornamento raccontando due brevi episodi di vita sportiva. Storie di fantasia ma che possono verificarsi ogni giorno in qualche luogo….
“85° minuto di gioco, la squadra di casa è ancora bloccata sullo zero a zero dagli avversari. Serve una vittoria, anche di misura, per accedere alle fasi finali del torneo. La formazione ospite è costretta a ripiegarsi in difesa sotto il pressing arrembante degli azzurri. Ma ecco l’ala destra che con un guizzo salta il difensore, si porta sul fondo e lascia partire un cross insidioso. Al centro dell’area il centravanti si smarca con una finta di corpo e salta correndo verso il pallone che sta disegnando una parabola perfetta. Il portiere come una furia si lancia fuori dai pali e con un’uscita garibaldina travolge nella mischia difensore e attaccante. Proprio quest’ultimo ha la peggio: una gomitata lo ha colpito in pieno viso. L’arbitro fischia: è calcio di rigore. Ma il centravanti rimane a terra, dolorante; si dimena portandosi le mani alla faccia. Non ce la fa a rialzarsi, entra la barella e viene scortato a bordo campo mentre sugli spalti con un moto di agitazione si propaga la paura e l’apprensione per le condizioni di salute della bandiera di casa. Il numero 9, il capitano. Passano alcuni minuti, il giocatore si rialza, il pubblico applaude. Lui si sforza di rispondere con un sorriso che non è più il suo sorriso… I denti hanno avuto la peggio!”
“Ultimo chilometro al traguardo di questa tappa da tregenda, percorsa quasi interamente sotto una pioggia fredda e battente. L’ arrivo è in volata e il nutrito gruppetto degli specialisti della velocità sta affrontando l’ultima curva prima del rettilineo finale. Per loro è l’ultima occasione di aggiudicarsi una vittoria di tappa, di incidere il proprio nome nell’albo della competizione, prima delle durissime frazioni alpine che li vedranno attardarsi in fondo al gruppo. La volata ha sempre il suo fascino. I muscoli si tendono e vibrano fino allo spasimo, i denti stridono per sostenere lo sforzo, nei visi degli atleti è impressa la maschera di una sovrumana fatica. I corridori aggrappati al manubrio fanno ondeggiare le biciclette, con una coordinazione perfetta tutti gli sfidanti si muovono all’unisono, combattono, si
piegano, si incurvano con la risonanza perfetta di un rito sciamanico e l’energia impetuosa di una locomotiva. Ma l’asfalto bagnato richiede il suo dazio di sangue a questi eroi di uno sport che è infinita passione e sacrificio. Così uno degli sfidanti scivola rovinosamente, un boato fragoroso di ferraglia si mischia alle urla di incitamento dei tifosi. Il corridore si arresta contro le transenne sbattendo il viso alla base di queste. E’ un attimo, poi solo la consapevolezza che i suoi denti non sono più gli stessi. Dopo il frastuono ritorna il silenzio, interrotto soltanto dai lamenti del giovane atleta sconfitto da un destino beffardo…”
Ho liberamente preso spunto da questi racconti per parlarvi di traumi dentali. Sono infatti tante le situazioni in cui i questi traumi si possono verificare, molte delle quali relative appunto ad infortuni sportivi, oppure a sinistri stradali, oppure ancora a incidenti domestici, scolastici o perfino dovuti ad un gioco finito in dolore.
Sottolineando in partenza che la prevenzione è sempre la miglior difesa e che l’osservanza delle norme di comportamento così come l’utilizzo di dispositivi di protezione (se guardiamo allo sport….) sicuramente aiutano, poniamoci la domanda successiva:
Cosa fare dunque in caso di traumi dentali?
Ecco alcune sintetiche raccomandazioni:
1. accertati delle condizioni di salute generali e se necessario chiama i soccorsi;
2. tranquillizza il malcapitato;
3. se il trauma ha coinvolto uno o più elementi dentari cerca di recuperare tutti i frammenti eventualmente sparsi;
4. sciacquali sotto acqua corrente e conservali in frigorifero in abbondante soluzione fisiologica, acqua o latte;
5. contatta immediatamente lo studio odontoiatrico di riferimento.
I traumi dentali rappresentano a tutti gli effetti un’emergenza odontoiatrica e possono verificarsi a tutte le età.
Sia che si tratti di denti decidui e cioè destinati alla permuta, sia che si tratti di denti permanenti, la prontezza e rapidità di intervento condizionano in maniera determinante la prognosi degli elementi coinvolti e la possibilità di un loro recupero.
Diverse possono essere le conseguenze di un trauma al massiccio facciale e differenti sono le problematiche dentali che possono manifestarsi in relazione alla gravità dell’evento: da una semplice scheggiatura, alla frattura più o meno severa, fino alla completa espulsione del/i dente/i.
L’intervento dell’odontoiatra mira in ogni caso a conservare la vitalità dei denti coinvolti, a ricomporre le fratture a carico dei tessuti duri quali osso e denti e a gestire le lacerazioni dei tessuti molli (gengive, mucosa alveolare, labbra), ovvero a mettere in assoluta sicurezza la zona interessata, favorendo la “restitutio ad integrum” o comunque la miglior guarigione.
La competenza in questi casi rappresenta un valore di estrema importanza, in quanto l’odontoiatra deve applicare un protocollo specifico (linee guida dell’American Association of Endodontists) che prevede, oltre alle delicate fasi tecniche di ricostruzione, anche la programmazione di un iter di osservazione con controlli a distanza che permettono di monitorare la progressione nel tempo della terapia e di valutare precocemente eventuali ulteriori complicanze.
Anche a distanza di diversi anni dall’episodio traumatico possono infatti manifestarsi i segni di una disfunzione come:
– cambiamento del colore (il dente diventa rosa o grigio);
– perdita di vitalità (può essere asintomatica, può comparire una bollicina sulla gengiva in corrispondenza della radice del dente oppure può comparire gonfiore);
– anchilosi (il dente si “salda” all’osso, ma tu non puoi accorgertene, serve una visita dal dentista);
– reintrusione (il dente diventa più corto di quello a fianco).
Se comparirà, anche dopo tanto tempo dall’evento, uno o più dei segni sopra elencati dovrai rivolgerti senza indugio al tuo dentista.
Quindi, riassumendo, le cose da fare in caso di trauma ai denti sono:
– recuperare i frammenti;
– conservarli in frigorifero in abbondante acqua, latte o soluzione fisiologica;
– contattare immediatamente lo studio dentistico di riferimento.
Ti consiglio di stampare questi tre piccoli ma fondamentali consigli e di conservarli nel portafoglio oppure puoi fotografare lo schermo e conservare lo screenshot tra le tue foto sullo smartphone in modo da averli sempre con te!
Lo so che sono solo tre punti e pensi di ricordarli, ma in situazioni di emergenza l’agitazione puó facilmente fartene dimenticare uno!
Riuscire a mantenere il tuo dente, o quello di tuo figlio, dipende dalla precisa e rapida esecuzione dell’intervento, compreso ciò che fai tu sul luogo del trauma, avere i tre punti scritti ti aiuterà a fare le cose giuste e a farle rapidamente!
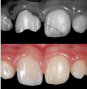
UN CASO CLINICO
M. S., 10 anni. Un martedì mattina, a scuola durante la ricreazione, cade mentre scende le scale: sbatte mento e bocca sullo spigolo di un gradino procurandosi, oltre ad una brutta lacerazione del labbro, la frattura della corona dei due incisivi superiori. Il frammento dell’incisivo superiore sinistro viene ritrovato e conservato nel latte.

Dopo un paio d’ore al pronto soccorso, nel primo pomeriggio giunge presso il mio studio. Fortunatamente le linee di frattura non hanno coinvolto il nervo ed entrambe gli elementi risultano essere ancora vitali. Dopo aver suturato la brutta lacerazione al labbro, decido di utilizzare due approcci diversi per riabilitare i due denti: ho ricostruito manualmente il centrale di destra (a sinistra nella foto) e di incollare il frammento ritrovato al centrale di sinistra (a destra nella foto). Ho rivisto M.S. dopo 7, 15 e 30 giorni, poi di nuovo a 3, 6 e 12 mesi dall’incidente. I denti sono sempre rimasti vitali, non si sono decolorati e l’estetica è stata mantenuta; questo è successo grazie allla prontezza nel recuperare almeno un frammento che ha permesso di ricreare le geometrie originali, di conservarlo nel modo opportuno e di giungere all’attenzione di un odontoiatra nel più breve tempo possibile.

